Odontólogo en Elche

Resultados

Resultados reales en pacientes de ortodoncia invisible en Elche

Cada tratamiento es único. Estos son algunos de los resultados obtenidos con Invisalign y planificación avanzada en nuestra clínica.

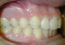
ANTES
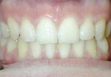
DESPUÉS
ANTES
DESPUÉS
ANTES
DESPUÉS
ANTES
DESPUÉS
ANTES
DESPUÉS
ANTES
DESPUÉS
ANTES
DESPUÉS
ANTES
DESPUÉS
ANTES
DESPUÉS
ANTES
DESPUÉS
ANTES
DESPUÉS
ANTES
DESPUÉS
ANTES
DESPUÉS
ANTES
DESPUÉS
ANTES
DESPUÉS
ANTES
DESPUÉS
ANTES
DESPUÉS
ANTES
DESPUÉS
ANTES
DESPUÉS
ANTES
DESPUÉS
ANTES
DESPUÉS
ANTES
DESPUÉS
ANTES
DESPUÉS
ANTES
DESPUÉS
ANTES
DESPUÉS
ANTES
DESPUÉS
ANTES
DESPUÉS
ANTES
DESPUÉS
ANTES
DESPUÉS
ANTES
DESPUÉS
ANTES
DESPUÉS
ANTES
DESPUÉS
ANTES
DESPUÉS
ANTES
DESPUÉS
ANTES
DESPUÉS
ANTES
DESPUÉS
ANTES
DESPUÉS
ANTES
DESPUÉS
ANTES
DESPUÉS
ANTES
DESPUÉS
ANTES
DESPUÉS
ANTES
DESPUÉS
ANTES
DESPUÉS
ANTES
DESPUÉS
ANTES
DESPUÉS
ANTES
DESPUÉS
ANTES
DESPUÉS
ANTES
DESPUÉS
ANTES
DESPUÉS
ANTES
DESPUÉS
ANTES
DESPUÉS
ANTES
DESPUÉS
ANTES
DESPUÉS
ANTES
DESPUÉS
ANTES
DESPUÉS
ANTES
DESPUÉS
ANTES
DESPUÉS
ANTES
DESPUÉS
ANTES
DESPUÉS
ANTES
DESPUÉS
ANTES
DESPUÉS
ANTES
DESPUÉS
ANTES
DESPUÉS
ANTES
DESPUÉS
ANTES
DESPUÉS
ANTES
DESPUÉS
ANTES
DESPUÉS
ANTES
DESPUÉS
ANTES
DESPUÉS
ANTES
DESPUÉS
ANTES
DESPUÉS
ANTES
DESPUÉS
ANTES
DESPUÉS
ANTES
DESPUÉS
ANTES
DESPUÉS
ANTES
DESPUÉS
ANTES
DESPUÉS
ANTES
DESPUÉS
ANTES
DESPUÉS
ANTES
DESPUÉS
ANTES
DESPUÉS
ANTES
DESPUÉS
ANTES
DESPUÉS
ANTES
DESPUÉS
ANTES
DESPUÉS
ANTES
DESPUÉS
ANTES
DESPUÉS
ANTES
DESPUÉS
ANTES
DESPUÉS
ANTES
DESPUÉS
ANTES
DESPUÉS
ANTES
DESPUÉS
ANTES
DESPUÉS
ANTES
DESPUÉS
ANTES
DESPUÉS
ANTES
DESPUÉS
ANTES
DESPUÉS
ANTES
DESPUÉS
ANTES
DESPUÉS
ANTES
DESPUÉS
ANTES
DESPUÉS
ANTES
DESPUÉS
ANTES
DESPUÉS
ANTES
DESPUÉS
ANTES
DESPUÉS
ANTES
DESPUÉS
ANTES
DESPUÉS
ANTES
DESPUÉS
ANTES
DESPUÉS
ANTES
DESPUÉS
ANTES
DESPUÉS
ANTES
DESPUÉS
ANTES
DESPUÉS
ANTES
DESPUÉS
ANTES
DESPUÉS
ANTES
DESPUÉS
ANTES
DESPUÉS
ANTES
DESPUÉS
ANTES
DESPUÉS
ANTES
DESPUÉS
ANTES
DESPUÉS
ANTES
DESPUÉS
ANTES
DESPUÉS
ANTES
DESPUÉS
ANTES
DESPUÉS
ANTES
DESPUÉS
ANTES
DESPUÉS
ANTES
DESPUÉS
ANTES
DESPUÉS
ANTES
DESPUÉS
ANTES
DESPUÉS
ANTES
DESPUÉS
ANTES
DESPUÉS
ANTES
DESPUÉS
ANTES
DESPUÉS
ANTES
DESPUÉS
ANTES
DESPUÉS
ANTES
DESPUÉS
ANTES
DESPUÉS
ANTES
DESPUÉS
ANTES
DESPUÉS
ANTES
DESPUÉS
ANTES
DESPUÉS
ANTES
DESPUÉS
ANTES
DESPUÉS
ANTES
DESPUÉS
ANTES
DESPUÉS
ANTES
DESPUÉS
ANTES
DESPUÉS
ANTES
DESPUÉS
ANTES
DESPUÉS
ANTES
DESPUÉS
ANTES
DESPUÉS
ANTES
DESPUÉS
ANTES
DESPUÉS
ANTES
DESPUÉS
ANTES
DESPUÉS
ANTES
DESPUÉS
ANTES
DESPUÉS
ANTES
DESPUÉS
ANTES
DESPUÉS
ANTES
DESPUÉS
ANTES
DESPUÉS
ANTES
DESPUÉS
ANTES
DESPUÉS
ANTES
DESPUÉS
ANTES
DESPUÉS
ANTES
DESPUÉS
ANTES
DESPUÉS
ANTES
DESPUÉS
ANTES
DESPUÉS
ANTES
DESPUÉS
ANTES
DESPUÉS
ANTES
DESPUÉS
ANTES
DESPUÉS
ANTES
DESPUÉS
ANTES
DESPUÉS
ANTES
DESPUÉS
ANTES
DESPUÉS
ANTES
DESPUÉS
ANTES
DESPUÉS
ANTES
DESPUÉS
ANTES
DESPUÉS
ANTES
DESPUÉS
ANTES
DESPUÉS
ANTES
DESPUÉS
ANTES
DESPUÉS
ANTES
DESPUÉS
ANTES
DESPUÉS
ANTES
DESPUÉS
ANTES
DESPUÉS
ANTES
DESPUÉS
ANTES
DESPUÉS
ANTES
DESPUÉS
ANTES
DESPUÉS
ANTES
DESPUÉS
ANTES
DESPUÉS
ANTES
DESPUÉS
ANTES
DESPUÉS
ANTES
DESPUÉS